Composite Bonding Solihull: A Complete Guide to a Confident, Natural Smile

A confident smile can change how you feel about yourself and how others see you. When your teeth look clean, even, and bright, you feel more relaxed in photos, meetings and everyday conversations. Many people in Solihull want a simple way to improve their smile without drilling, injections or long treatment plans.

That is why composite bonding Solihull is one of the most popular cosmetic dental treatments. It offers fast results, natural-looking improvements and minimal changes to your real teeth. In this guide you will learn exactly how it works, who it suits, what to expect and how to choose the right clinic with confidence

What Is Composite Bonding and Why Is It So Popular in Solihull?

Composite bonding is a cosmetic dentistry treatment in which tooth coloured resin material is shaped and applied directly onto your teeth. The dentist carefully sculpts the material to improve the size, shape or colour of the tooth. After shaping, a special light hardens the resin so it bonds strongly to the natural enamel. Many patients choose composite bonding Solihull because it is quick and minimally invasive. 

In most cases, dentists do not need to remove healthy enamel. This means your natural tooth stays almost untouched. The results look natural because the resin is matched closely to your existing teeth. Unlike veneers, composite bonding usually does not require laboratory work. The dentist completes the process in one visit, which makes it ideal for busy professionals, students, and parents. You walk in with small flaws and leave with a smoother, brighter smile the same day.

What Problems Can Composite Bonding Fix?

Composite bonding is versatile and works well for many common smile concerns. It is not only about making teeth whiter. It is about restoring balance and harmony to your smile.

Here are common issues treated with composite bonding Solihull:

  • Chipped or cracked teeth
  • Small gaps between teeth
  • Uneven or irregular tooth edges
  • Slightly crooked teeth
  • Worn-down enamel
  • Teeth that look too short or misshapen

This treatment works best for mild to moderate cosmetic issues. If teeth are severely misaligned or damaged, your dentist may suggest other treatments first. A proper consultation helps you understand the safest and most effective plan for your smile goals.

The Step-by-Step Process of Composite Bonding

Many people feel nervous before cosmetic dental treatment because they do not know what will happen. Understanding the process can help you feel calm and prepared. Composite bonding is simple, comfortable and usually pain-free. Most patients do not even need anaesthesia. Let us walk through the journey from consultation to final polish.

Consultation and Smile Assessment

Your journey begins with a detailed consultation. The dentist examines your teeth, gums, and bite to make sure composite bonding solihull is suitable for you. They discuss your goals and explain what can realistically be achieved. Photos and digital scans may be taken to plan your new smile carefully. A good dentist in Solihull will focus on natural results that match your face shape and personality. This step ensures your expectations align with the final outcome.

Shade Matching and Tooth Preparation

Next the dentist selects a composite shade that blends perfectly with your natural teeth. Shade matching is essential for a seamless result. It will give a natural look and not make your teeth look artificial. The tooth surface is gently cleaned and lightly prepared. Unlike veneers, this step requires minimal enamel removal. Preserving healthy tooth structure is always a top priority in modern cosmetic dentistry.

Sculpting and Shaping the Resin

The dentist applies the soft composite resin directly onto the tooth. They shape it by hand, adding small layers to build the desired form. This part requires skill and an artistic eye.

The dentist checks the bite and makes small adjustments to ensure comfort. The careful shaping results in a smooth and natural shape that looks great with your other teeth

Polishing and Final Adjustments

After shaping the dentist polishes the bonded area until it shines like natural enamel. A good polish improves both appearance and durability. Once complete, you can see the transformation immediately. The results are subtle yet powerful. Your smile looks refreshed, balanced and more confident without appearing overdone.

Benefits of Choosing Composite Bonding Solihull

First, it delivers instant results. In most cases, treatment finishes in a single appointment. There is no need for temporary restorations or multiple visits which saves time and reduces stress. Second, it is minimally invasive. Dentists preserve most of your natural tooth structure. This makes composite bonding a safer option for younger patients or those who want reversible cosmetic improvements. Third, it is cost effective compared to porcelain veneers. 

Many patients in Solihull choose bonding as an affordable way to enhance their smile without compromising quality. Finally, the treatment is repairable. If a bonded area chips, your dentist can usually fix it quickly without replacing the entire restoration. This flexibility makes composite bonding a practical long-term option.

Choosing the Right Clinic for Composite Bonding in Solihull

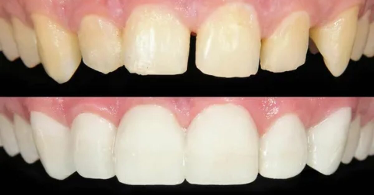
Finding the right dental clinic matters as much as choosing the treatment itself. Not all composite bonding results look the same. Skill, experience and attention to detail make a huge difference. Look for a dentist who focuses on cosmetic dentistry and has real patient photos. Before and after images show the quality of their work and help you set realistic expectations. 

A trustworthy clinic will offer a clear treatment plan and transparent pricing. They will explain the benefits, risks and maintenance with honesty. Proper communication promotes confidence in the patient. Patient reviews also provide insight into the overall experience. Friendly staff, clean facilities and aftercare support all contribute to a smooth and positive transformation.

Conclusion

Composite bonding Solihull offers a simple and effective way to enhance your smile without major treatment. It corrects chips, gaps and uneven edges while protecting your natural teeth. The process is quick, comfortable and delivers instant results that look natural and balanced.

 With proper care, bonding can remain for many years and boost your confidence every day. If you want a brighter smoother smile without complex procedures, composite bonding could be the perfect solution. Book a consultation and take the first step toward a smile you feel proud to share.

Leave a Reply

Your email address will not be published. Required fields are marked *